北京友谊医院平谷医院开展脏器声学造影检查技术
发布时间: 已有 720 人浏览
近日,41 岁的王先生有些苦恼,是因为在健康体检时发现肝脏上长了一个小结节,让王先生有些担心。在他得知北京友谊医院平谷医院超声科开展的脏器声学造影检查,可对肝内结节行进一步的风险评估后,就诊于我院。我院超声科执行主任刘玉江为王先生完成了肝脏结节的超声造影检查,这也是我院超声科首例脏器声学造影检查。
在超声造影检查前,二维超声检查可见患者肝左内叶胆囊旁低回声结节,大小为2.0cm×1.1cm,形态稍欠规则,边界清,结节内部未见明显血流。经患者左侧肘部静脉注入超声造影剂后,发现肝内结节与周围肝实质三期同步增强,考虑结节为良性病变,肝内结节是由于肝内脂肪沉积不均所致。检查过程持续10 分钟,造影结束后留观 15 分钟,患者无不良反应后拔出静脉穿刺针,检查结束。得知自己肝内结节考虑是良性病变,只需定期复查时,压在王先生心里的一块大石头终于落地了。

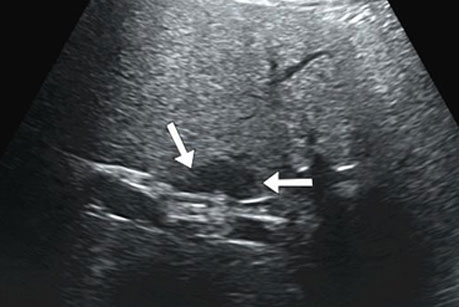
肝内新发片状低回声结节,二维图像上难以判断良恶性

通过造影剂,可实时动态观察结节内部的微循环血流灌注情况,做出诊断
什么是脏器声学造影?
脏器声学造影也叫超声造影,是经静脉注射超声造影剂进入体内,并行超声检查。其主要优势在于能清晰显示组织的微循环血流灌注,提高疾病的超声诊断率,是超声成像技术的一次革命性进步。检查无需特殊准备,检查时间相对短暂,只需10分钟左右,并且它具有实时动态观察、分辩率高、无创、无 X 线辐射、重复性好等其它医学影像技术无法比拟的独特优势。
超声造影安全吗?
目前临床使用的是声诺维造影剂(注射用六氟化硫微气泡),安全、无毒性,主要通过肺呼吸排出体外,无肝肾及心脏毒性,无放射性。总体来讲,声诺维的不良反应十分少见,无副作用。
超声造影适用范围?
超声造影可用于诊断腹腔实质性脏器(肝脏、胆囊、胰腺、肾脏、脾脏等)、小器官(甲状腺、乳腺)以及腹膜后肿瘤的定性诊断,也可用于血管狭窄、闭塞或血管畸形等的明确诊断,以及栓子良恶性的判断。还可用于引导和监测肝脏等实质脏器的微创介入治疗,也可用于输卵管通畅性的临床评估等。
文/超声科 郭为衡