北京友谊医院平谷医院为一例重度内翻性膝关节炎患者完成人工膝关节置换术
发布时间: 已有 720 人浏览
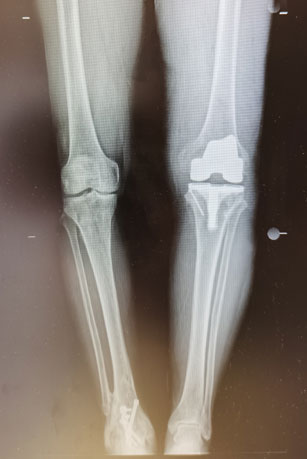
近日,北京友谊医院平谷医院骨科中心为一例严重内翻性膝关节炎患者完成了人工膝关节置换术,解除了患者多年的病痛。
患者是一位老年男性,因年轻时外伤导致左膝创伤性关节炎,常年从事体力劳动,随着年龄的增长,膝关节畸形,疼痛越来越重,已经严重影响了生活质量。8年前,我院骨科主任医师王兴龙曾为这位患者行重度踝关节炎胫距关节融合术,术后患者非常满意,此次再次来到了王兴龙的门诊。
王兴龙为患者进行了详细查体,完善了相关检查,发现患者膝关节内翻畸形达25度,并伴有近20度的屈曲挛缩畸形,手术难度极大。手术可能需要特殊关节假体,但此类假体费用非常昂贵。为了以最经济的方法获得同样的疗效,王兴龙通过术前仔细测量、规划,决定为患者应用普通关节假体进行手术。术中,患者膝关节异常僵硬,软组织松解、平衡困难,截骨后胫骨侧伴有较大的骨缺损。由于术前准备充分,通过袖套样松解、拉花技术、胫骨平台缩小、应用水泥螺钉技术,手术难点被一一攻克。在麻醉科、手术室和关节团队的密切配合下,手术顺利完成。术后,我院康复医学科为患者进行个性化的康复治疗,术后第五天,患者康复出院。


文/骨科中心